Premium Zirconia All-on-X Implants, $25,000 $14,999 for Single Arch Full Smile Transformation, $50,000 $27,999 for Full Arch
Star Dental Implants
Save up to 22000$ by signing up
A single Zirconia arch is now $14,999 (was $25,000) with no compromise in quality. Get a full smile restoration for $27,999 (was $50,000) and save $22,000 for a limited time—using the same premium, durable, natural-looking materials.
Book Your Free Consultation Today
- 3D Imaging Included
- Smile Preview Before Treatment
- Flexible Monthly Payment Plans Available
Request your Appointment
Thank You for Reaching out to us! We will make sure you get the best dental care!! Call us for more queries:
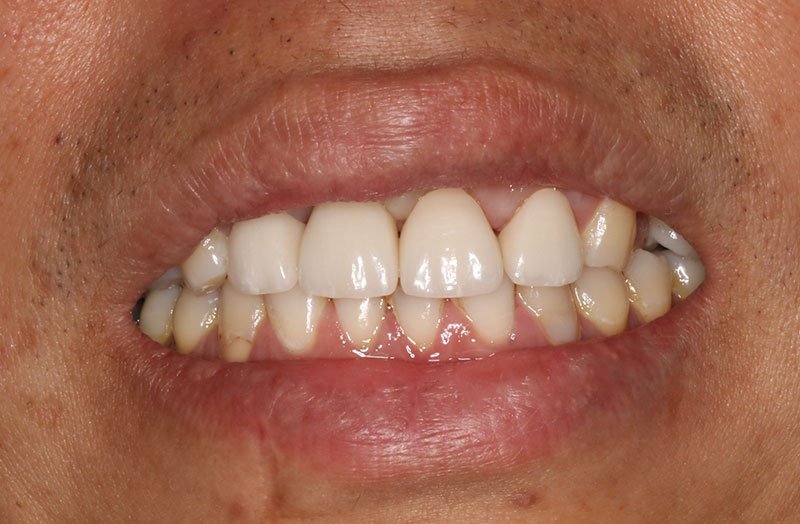
Real Patients. Real .Transformations.
Limited Spots Available!
Proven Results You Can Trust
Smiles transformed
Patient Satisfaction
Dental implants
Dental Training
Dental Implant Transformations
Everything you get when you book your COMPLIMENTARY consultation today!
Star Dental Implants
A Stunning New Smile at a Realistic Price
All-on-X Zirconia Arches , $14,999 per arch
This all-inclusive price covers:
- 3D CBCT Scan & Complete Smile Evaluation
- Digital Smile Design Preview
- All Surgical Procedures (Extractions, Bone Grafts, Sinus Elevation if required)
- 6–8 Premium Implants per arch for maximum stability
- Immediate Temporary Teeth Same Day
- Final Full-Contour Zirconia Arch
- 5-Year Warranty for Peace of Mind
- IV Sedation for a Stress-Free Experience
You won’t face hidden fees or surprise upgrades. One price. One team. One life-changing result.
Request your Appointment
Why Patients Choose Star Dental
Experience That Puts You First
Our implant team has helped hundreds of patients achieve stable, confident new smiles using the All-on-X technique. From your first consultation to your final Zirconia teeth, you’re cared for by experts who believe in precision, transparency, and comfort.
Premium Materials Only No Acrylic No Compromises
We use world-leading Zirconia, the strongest and most aesthetic material for full arch restorations. This gives you:
- High fracture resistance
- Natural translucency
- Long-term durability
- Stain resistance
Request your Appointment
Transparent Pricing No Corporate Markups
Corporate implant centers often charge $25,000–$30,000 per arch.
We deliver the same or better quality at $14,999, because we operate locally ,not as a chain.
Life-Changing Benefits of All-on-X Implants
Limited Spots Available!
Our Expert
Meet Our Doctors
Drs. Sonny and Fara Afshar are highly skilled and compassionate dental professionals with extensive academic and clinical expertise. Dr. Sonny Afshar earned his Doctor of Dental Surgery (DDS) degree after completing a strong foundation in Mechanical and Aerospace Engineering, while Dr. Fara Afshar graduated with honors in Biochemistry before earning her DDS from the University of the Pacific. United by a shared commitment to excellence and patient-centered care, they continuously advance their skills through ongoing education in cosmetic dentistry, dental implant placement, sedation techniques, and comprehensive restorative care. Their dedication to personalized treatment planning ensures exceptional outcomes, comfort, and long-term oral health for every patient they serve.
Drs. Sonny and Fara Afshar
Hours & Location
3001 Douglas Blvd, Suite 100, Roseville, CA 95661
Mon–Fri : Convenient Scheduling Available
Frequently Asked Questions
- 10× stronger
- More natural light reflection
- Extremely stain and odor resistant
- Does not chip or wear down easily
- Are missing several or all teeth
- Have failing bridges, crowns, or dentures
- Want a permanent solution instead of removable options
- Are in general good health
- Brush twice a day
- Use a water flosser
- Schedule routine cleanings
Am I A Candidate For Dental Implants?
Get Started In 3 Simple Steps
Terms and Conditions:
- Please note that this offer is available for a limited number of slots, and we are considering only serious candidates.
- Appointments may be rescheduled up to twice, provided changes are made at least 24 hours in advance.
- The offer is valid on dental implant treatment.
- The discount will be finalized by the senior doctor at Star Dental Cosmetic and Implant Center during the appointment.
Take the First Step Toward a Beautiful, Confident Smile
Thousands of patients trust Star Dental Cosmetic and Implant Center for premium, lasting implant solutions.
Schedule a personalized consultation and let our experienced dental team design a treatment plan tailored to your smile goals, comfort, and long-term oral health.
- Free Consultation
- Transparent $14,999 Pricing
- Same-Day Teeth
- Premium Zirconia Arches
Limited Spots Available!
Star Dental Cosmetic and Implant Center
3001 Douglas Blvd Ste 100 Roseville, CA 95661
📞 916-232-3339 | ✉️ leads@star.dental
This page is managed by Peach Media Co. on behalf of Star Dental Cosmetic and Implant Center, located at 3001 Douglas Blvd, Suite 100, Roseville, CA 95661.
All content is for educational purposes only and should not be considered medical advice. Individual results may vary; no outcomes are guaranteed.
This page is not affiliated with or endorsed by Google, Facebook, or any other platform used to promote this offer.


